ご予約・お問い合わせ

ご予約・お問い合わせ

04-7185-1235

24時間メールお問合せ

メールお問合せ

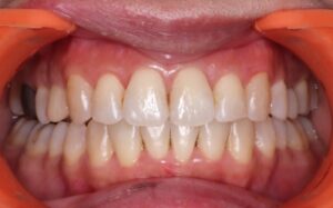
我孫子駅より徒歩3分のなかむら歯科|40代女性 乱れた歯並びをマウスピース矯正で改善した症例

なかむら歯科

お電話でのご予約・お問い合わせ

04-7185-1235

月火水金土:9:00〜18:00

矯正

診療予約はこちらからオンライン診療予約

PAGE TOP