








| 患者 | 40代女性 |
|---|---|
| 主訴 | 「とくに生活には支障はないものの思春期の頃から歯並びが気になっていた。これまで相談できずにいたが、勇気を出して来院した」とご相談いただきました。 |
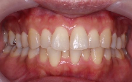
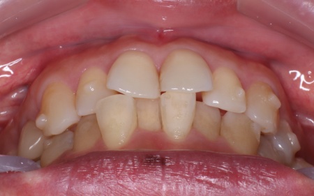
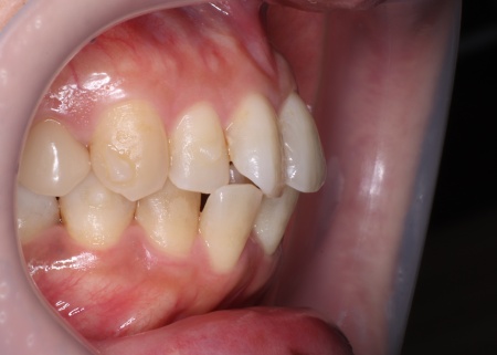
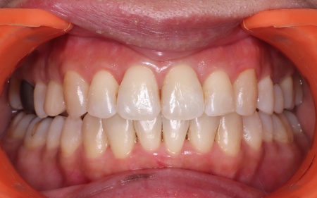
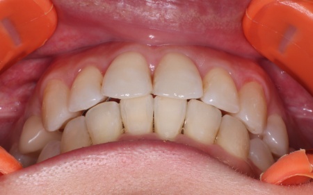
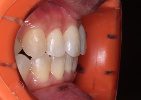
| 診断 | 拝見したところ、全体的に歯がねじれたりずれたりしてデコボコに生えていました。 そのため笑ったときの見た目に影響が出ているだけでなく、噛み合わせのバランスも乱れています。 噛み合わせが悪い状態が続くと一部の歯に過度な負担がかかり、歯の表面が削れたり割れたりするリスクや、歯ぐきの炎症を引き起こすおそれがあります。 以上のことから、全体の矯正治療を行うことによって見た目だけでなく噛み合わせの改善も期待できると診断しました。 |
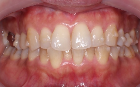
| 治療内容 | 矯正治療では、歯を動かすためのスペースを確保する必要があります。 成長期の子どもの場合はあごの成長を利用してスペースを確保する方法がありますが、患者様は成人のためあごの成長は期待できません。 そこで、歯を数本抜いてスペースを確保してから歯を動かす矯正治療を提案しました。 しかし患者様から「抜歯はできるだけ避けたい」との希望があったため、代替案として歯と歯の間をごくわずかに削ってスペースを確保して歯を動かす方法を提案し、同意いただきました。 また歯を動かす装置には、取り外し式のマウスピース型矯正装置であるインビザラインコンプリヘンシブパッケージを選択しています。 インビザラインコンプリヘンシブパッケージのメリット・デメリット まず患者様専用のマウスピースを作製し、1日に一定時間使用していただくよう指導しました。 マウスピースの装着時間や交換時期をしっかりと守っていただいた結果、歯並びと噛み合わせが改善したことが確認できたため、治療を終了しています。 |
| 治療期間 | 1年 |
| 費用 | 910,000円 |
| 治療のリスク | ・決められたスケジュールを守らない場合、十分な効果が得られない可能性があります ・マウスピースに対応していない症例の場合、治療が難しい可能性があります ・歯の移動に伴って、痛みや違和感を感じる場合があります ・正しいブラッシングやメンテナンスを行わない場合、虫歯や歯周病のリスクが高まります |