なかむら歯科の影山です。
先日歯がしみるという症状を訴えて患者様が来院されました。
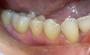
歯に強いストレスが長期間にわたってかかっていたためか、歯と歯茎のきわに楔状にえぐれが生じた状態でした。

対応として知覚過敏保護の薬剤を歯のしみる部分に塗布いたしました。

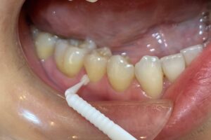
処置後かなり落ち着いた様子で今後のケアなどの説明。
後日再来院時に歯の確認をすること伝え終了致しまいた。
1週間後の来院時に気になるお話がありました。
PMS(月経前症候群:生理前3〜10日間に生じるイライラや腹痛、
むくみなどの身体的・精神的不調)が始まると歯がしみるということでした。

以前にも同様の相談を受けたことが多数ありました。
原因として考えられるのは
主に女性ホルモンの変動と「プロスタグランジン」という物質が原因と考えられます。
この物質が子宮を収縮させると同時に歯の炎症や痛みを増幅させたり、
歯茎の血流を悪化させたりします。
また免疫力低下による歯肉炎や小さな虫歯が過敏になるケースも多いです。
歯がしみることは大変辛いことです。
適切に対応することで症状が軽くなることも多いです。
まずは担当の歯科医師、歯科衛生士にご相談ください。